Istituto Zooprofilattico Sperimentale del Lazio e della Toscana M. Aleandri

Esami parassitologici su campioni di NHP

Presso il Laboratorio di Parassitologia della sede centrale di Roma vengono effettuati esami parassitologici su campioni fecali, utilizzando un panel di tecniche che consente di diagnosticare ed identificare gli enteroparassiti, protozoi ed elminti, in grado di infettare/infestare i primati.

Su ciascun campione di feci o di contenuto intestinale vengono effettuati esame a fresco previa colorazione con Lugol, flottazione con soluzione zuccherina e immunofluorescenza diretta per la ricerca delle cisti di Giardia duodenalis e delle oocisti di Cryptosporidium sp. In caso di specifici sospetti clinici, i campioni fecali vengono analizzati anche mediante sedimentazione formolo/acetica e tecnica di Baerman per la diagnosi dei parassiti broncopolmonari.

Per lo studio morfologico dei protozoi del genere Entamoeba in alcuni casi si fa ricorso allo studio di strisci fecali colorati con colorazione tricromica, ematossilina-eosina e Ziehl Neelsen.

L’insieme di queste tecniche consente di diagnosticare praticamente tutti i parassiti intestinali che si possono rinvenire nei NHP.

In caso di reperti la cui identificazione esclusivamente morfologia risulti particolarmente difficoltosa o non consenta di arrivare ad un livello soddisfacente di definizione, in collaborazione con il Laboratorio di Diagnostica Molecolare della UOC Patologia Animale e Sanità Pubblica, è possibile procedere anche alla tipizzazione molecolare di protozoi ed elminti.

Foto
Giardia duodenalis, cisti, 100x


Oltre alle attività routinarie sopra descritte, nel corso degli anni la collaborazione tra Laboratorio di Parassitologia, Laboratorio di Diagnosi Anatomopatologica e Istopatologica, zoo e centri di recupero, ha consentito di giungere alla definizione di alcuni casi particolarmente interessanti riguardanti infestazioni parassitarie in primati non umani, infestazioni che in alcuni casi erano state causa di morte per l’animale coinvolto.

Tra gli altri ricordiamo la diagnosi di Angiostrongylus dujardini in callitricidi di uno zoo del centro Italia, la morte di una scimmia della specie Saguinus midas, causata da cestodi del genere Mesocestoides in un centro di recupero per la fauna selvatica di Roma e il rinvenimento di Giardia duodenalis e di diverse specie del genere Entamoeba in alcune specie di primati in centri di recupero e giardini zoologici.

In tutti questi casi, oltre alla diagnosi ed all’identificazione del parassita coinvolto, l’indagine, per la quale a volte si è proceduto anche a dei sopralluoghi, ha consentito di definire la possibile via di entrata del parassita nella struttura e il rischio legato alla sua presenza per gli altri animali presenti e per gli operatori. Dallo studio e l’approfondimento di questi casi sono scaturite numerose pubblicazioni su riviste internazionali, in alcuni casi in collaborazione con le università.

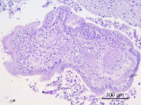
Foto
Mesoceistoides sp. Peritoneo di Uistitì (Ematossilina-eosina)



Nel periodo 2021-2025, presso il Laboratorio di Parassitologia della sede centrale dell’IZSLT sono state effettuate 804 prove per la diagnosi di enteroparassiti su campioni fecali o contenuti intestinali di circa 250 primati non umani, con un trend di campioni processati in costante aumento nel corso degli anni.